В Александровской больнице провели редкую операцию по извлечению из позвоночника обломка ракеты - фото

В Александровской больнице провели редкую операцию по извлечению из позвоночника обломка ракеты - фото.

В Александровской больнице провели редкую операцию по извлечению из позвоночника обломка ракеты - фото. Фото: facebook.com/pavlo.byk.9

События
03 января 2024 17:02

После вчерашнего обстрела Киева обломок ракеты попал жителю столицы прямо в позвоночник и застрял там. В самой известной столичной больнице провели необычную операцию по спасению человека от обломка металла, который застрял между позвонками.

Как рассказал в Фейсбуке ассистент кафедры хирургии Национального медуниверситета имени Богомольца Павел Бык, сотрудники Александровской больницы, находящейся в центре города в Печерском районе, работали четко и организованно.

Сейчас все самое оперативное в нашем Telegram-канале. Подписывайтесь, чтобы быть в курсе важнейшей информации

Для проведения операции была собрана команда хирургов, торакальных хирургов, травматологов, анестезиологов, интернов, сотрудников диагностических служб, в том числе по проведению компьютерной томографии.

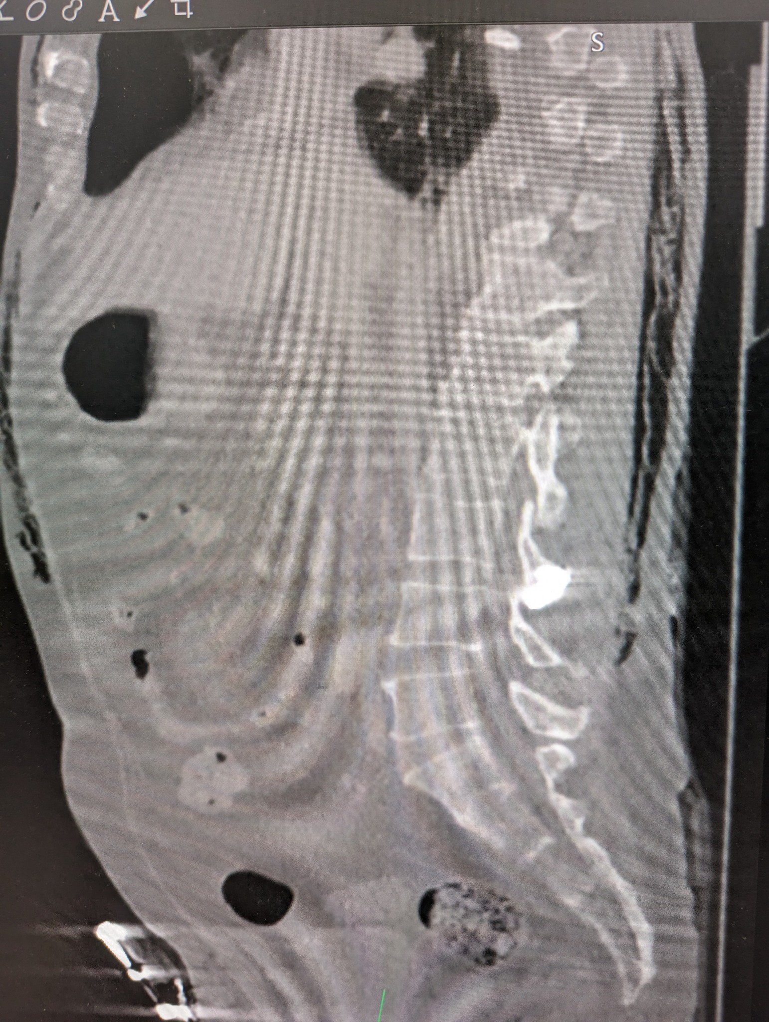
Один из раненных вчера мужчин остался с обломком ракеты в спине - металл застрял в фасеточном суставе между позвонками L3 и L4.

Благодаря компьютерной томографии (КТ) и электронно-оптическому преобразователю обломок был четко локализован. Это дало возможность провести точечную операцию по удалению куска металла.

Пациент после операции стабилен, он дал согласие на публикацию материалов.

Фото: facebook.com/pavlo.byk.9Фото: facebook.com/pavlo.byk.9

Фото: facebook.com/pavlo.byk.9Фото: facebook.com/pavlo.byk.9

Фото: facebook.com/pavlo.byk.9Фото: facebook.com/pavlo.byk.9

Фото: facebook.com/pavlo.byk.9Фото: facebook.com/pavlo.byk.9

Напомним, вчера, 2 января, силы ПВО в Украине успешно отбили самую масштабную в мире комбинированную ракетную атаку с применением гиперзвукового оружия.

Присоединяйтесь к нашим каналам в Telegram:

"Підсумки дня. Новини України та світу" - о 22:00 пишемо добірку про те, що важливого відбулося протягом дня.
Vgorode.ua Киев - все, что касается нашего города.
"Диван зачекає" - куди ходити у Києві, та як розважатися.
"Сова" - кращі добірки кіно, серіалів, та музики.

Это чат – пиши и читай 👇
Ого! ты доскролил до нашего чатбота 😏
Теперь у тебя есть возможность настроить его под себя и узнавать важный контент первым, чтобы рассказывать друзьям
Только почта, только хардкор 🤘
Мы в соцсетях