У мешканки Запоріжжя лікарі виявили під шкірою жахливого паразита.
Дістали паразита з повіки: у Запоріжжі виявили випадок дирофіляріозу – що це та як вберегтися
Події
09 липня 2025 16:57
У мешканки Запоріжжя лікарі виявили під шкірою жахливого паразита. Фото: wallpapers.99px

У Запоріжжі лікарі дістали з повіки жінки паразита після укусу інфікованого комара. Це вже не поодинокий випадок – у 2024 році в регіоні таких було вже п’ять. Медики попереджають: хвороба рідкісна, але дуже підступна, і вимагає уваги. Vgorode дізнався, що це за хвороба, як передається, які симптоми та як уникнути зараження.

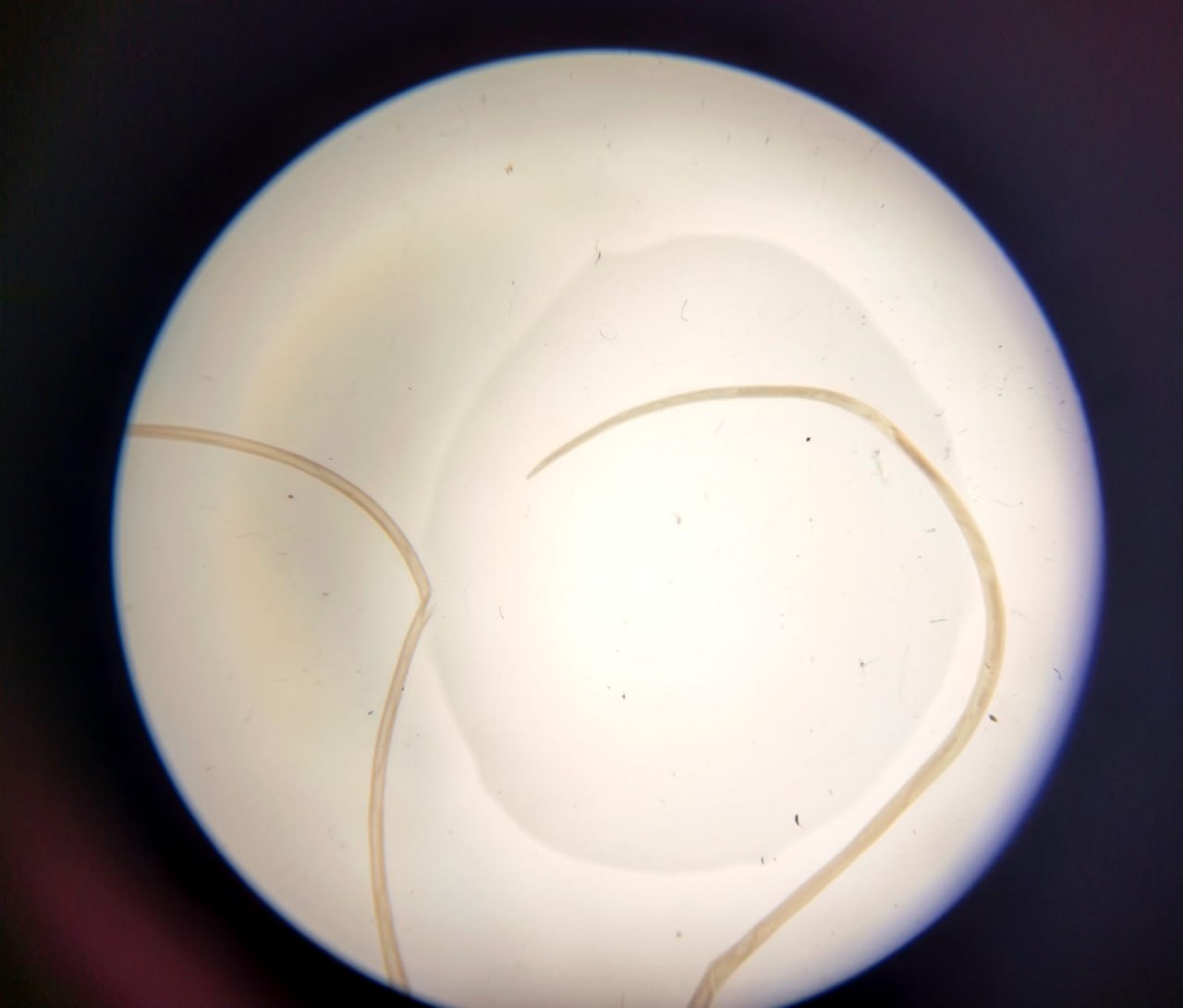
За даними обласного центру контролю та профілактики хвороб МОЗ, жінка звернулася через набряк і болі в області повіки. Під час огляду медики виявили паразита виду Dirofilaria та видалили його хірургічно.

Зараз все найоперативніше у нашому Telegram-каналі. Підписуйтесь, щоб бути в курсі найважливішої інформації

Це вже не перший подібний випадок. У 2023 році в області було зафіксовано три випадки дирофіляріозу, а у 2024 – уже п’ять. Медики кажуть, що хвороба спорадична, але ризики зростають із потеплінням та збільшенням кількості комарів.

Що таке дирофіляріоз

Дирофіляріоз – паразитарне захворювання, яке передається людині через укуси інфікованих комарів. Основними резервуарами є собаки та коти. Коли комар кусає інфіковану тварину, він стає переносником личинок паразита. Під час укусу людини личинка проникає під шкіру, де може рости і мігрувати, утворюючи вузлики.

Хвороба розвивається повільно – симптоми можуть проявитися через кілька тижнів або навіть місяців після укусу. Часто це рухоме ущільнення під шкірою, яке спричиняє свербіж, біль або відчуття повзання.

У мешканки Запоріжжя лікарі виявили під шкірою жахливого паразита.
У мешканки Запоріжжя лікарі виявили під шкірою жахливого паразита. Фото: ЦКПХ

У мешканки Запоріжжя лікарі виявили під шкірою жахливого паразита.
У мешканки Запоріжжя лікарі виявили під шкірою жахливого паразита. Фото: ЦКПХ

Симптоми дирофіляріозу

  • Набряк і почервоніння на місці зараження;
  • Щільне, рухоме підшкірне утворення;
  • Біль, свербіж;
  • Відчуття "повзання" під шкірою;
  • При ураженні повіки – набряк, кон’юнктивіт, дискомфорт в оці.

Як уберегтися від дирофіляріозу

Медики рекомендують дотримуватися простих правил профілактики, особливо у літній сезон:

  • Використовуйте репеленти на шкірі та одязі;
  • Ставте москітні сітки на вікна та двері;
  • Знищуйте стоячу воду, де можуть розмножуватися комарі;
  • Захищайте домашніх тварин: проводьте дегельмінтизацію та використовуйте протипаразитарні засоби.

Що робити після укусу комара

У більшості випадків укуси комарів безпечні. Але якщо через кілька тижнів або місяців після укусу з’явилося ущільнення під шкірою або відчуття руху – потрібно терміново звернутися до лікаря. Ніколи не намагайтеся самостійно видалити паразита – це може призвести до ускладнень.

Видалення паразита проводиться хірургічно під місцевою анестезією. Рання діагностика та лікування допомагають уникнути серйозних проблем.

Дирофіляріоз – рідкісна, але небезпечна хвороба, яку легше попередити, ніж лікувати. Захищайте себе та близьких від укусів комарів, дбайте про здоров’я домашніх улюбленців і не зволікайте з візитом до лікаря при перших підозрілих симптомах.

Ого! ти доскролив до нашого чатбота 😏
Тепер у тебе є можливість налаштувати його під себе і дізнаватися важливий контент першим, щоб розповідати друзям
Тільки пошта, тільки хардкор 🤘
Ми в соцмережах